안 예쁜 치아가 고민이라면 - 왜소치 증상과 개선 방법

웃을 때 드러나는 치아는 인상에 큰 영향을 줍니다. 치아가 고르고 균형 잡혀 있으면 깔끔하고 자신감 있는 인상을 주지만, 치아가 작거나 잇몸이 많이 보이는 경우 미소가 어색하게 느껴질 수 있습니다.

특히 앞니가 작거나 치아 사이가 벌어져 있다면 웃을 때마다 본인도 모르게 입을 가리게 되고, 사진을 찍을 때도 자연스럽게 웃기 어려워질 수 있습니다. 이처럼 치아의 크기나 배열로 미소가 불편하게 느껴진다면 '왜소치'일 가능성이 있습니다.






왜소치란?


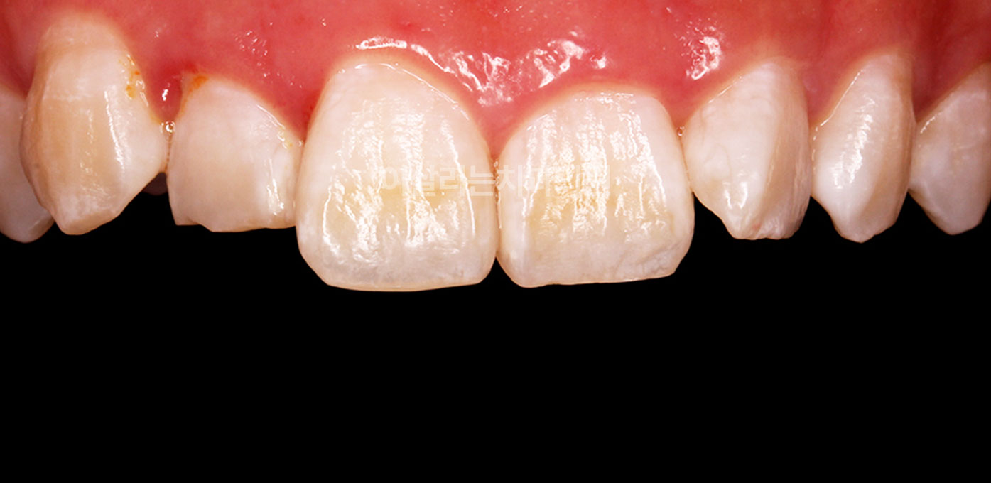
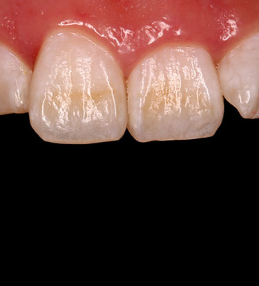
왜소치는 일반적인 치아보다 작거나 짧은 형태로 태어난 치아를 말합니다. 주로 위 앞니 옆 치아에서 자주 나타나며, 크기나 길이가 작아 주변 치아와 조화가 깨져 보일 수 있습니다.

겉보기엔 단순한 심미 문제처럼 보이지만, 기능적인 불편으로 이어질 수 있어 주의가 필요합니다.






왜소치를 방치하면 안 되는 이유


왜소치를 오래 방치하면 구강 건강에 영향을 줄 수 있습니다.

• 치아 사이 공간이 넓어 음식물이 자주 끼고 세균이 쉽게 번식해 잇몸염증, 충치 위험 증가

• 치아 크기 불균형으로 교합에 문제가 생기고, 부정교합으로 이어질 수 있음

처음에는 불편함이 없더라도 시간이 지날수록 전체 치열 균형에 영향을 줄 수 있어 조기 확인과 개선이 중요합니다.






왜소치 개선 방법


✔ 레진 

치아 색상과 유사한 재료로 부족한 부위를 메우는 방법입니다.

• 장점: 치아 삭제 없이 빠르게 적용, 비교적 저렴한 비용

• 단점: 시간 경과에 따라 변색, 마모, 재료 수축에 따른 틈 발생으로 2차 충치 또는 탈락 위험

※ 왜소치 형태가 경미한 경우에만 적합하며, 형태 보완이 큰 경우에는 적용이 어렵습니다.


✔ 라미네이트 

치아 겉면을 얇게 삭제한 후 세라믹을 부착해 형태와 색상을 개선하는 방법입니다.

• 장점: 일정 수준까지 크기와 모양 개선 가능, 외형 변화를 빠르게 원할 때 적합

• 단점: 정밀하지 않으면 경계 틈 발생, 들뜸, 변색 우려 / 맞물리는 치아 마모 유발 / 충격 시 파절 가능

※ 라미네이트는 치아와 물성이 달라 일체화되지 않아 기능적 안정성에 한계가 있습니다.





왜소치 , 건강하게 바꾸는 치아복구 솔루션 '미니쉬'




미니쉬는 단순한 심미 보완이 아닌, 치아 기능을 회복하면서 심미성까지 함께 개선하는 치아복구 솔루션입니다.


미니쉬의 장점

• 씹는 기능과 교합까지 고려한 구조 복구

• 부정교합 및 치열 불균형 개선 가능

• 초정밀 제작과 접착으로 틈 없이 결합 → 2차 충치와 들뜸 현상 예방

• 임시치아 없이 당일 복구 가능 (원데이 시스템)

• 치아 색상과 형태를 조화롭게 개선해 심미성과 전체 인상 모두 긍정적으로 변화







왜소치는 심미뿐 아니라 기능까지 고려해야 합니다

단순히 작아 보이는 치아도 건강하게 변화시킬 수 있습니다.

지금 나에게 가장 적합한 방법이 무엇인지 정확히 알고 싶다면, 이살리는치과에 방문해 전문의와 충분한 상담을 받아보세요.

작은 치아 하나가 구강 건강을 바꾸고, 나아가 삶의 자신감을 회복하는 출발점이 될 수 있습니다.

조화로운 미소, 이살리는치과에서 시작하세요.