거울을 보다 앞니에 작은 검은 점을 발견하셨나요?

처음엔 ‘착색인가?’ 하고 넘겼지만, 혹시 충치면 어쩌지? 하는 걱정이 드셨을 겁니다. 

사실 겉보기엔 단순 착색처럼 보여도, 속에서는 조용히 충치가 진행 중인 경우가 많습니다.






앞니 충치, 왜 잘 생길까요?



* 앞니 충치 사례 


앞니 충치는 치아 사이 좁은 틈에서 시작되는 경우가 많습니다. 

칫솔이 잘 닿지 않는 부위라 세균과 음식물이 오래 머물기 쉽고, 이로 인해 충치가 발생합니다.

게다가 앞니 충치가 생겼다는 건, 입 안 전체가 충치에 취약해졌다는 신호일 수도 있습니다. .

실제로 앞니 충치가 발견된 분들 중에는 어금니에도 충치가 함께 있는 경우가 많습니다.

그래서 조금이라도 이상이 보인다면 전체 치아 검사를 함께 받아보는 것이 중요합니다.

조기 발견하면 자연치아를 살리면서 치료는 간단해지고, 비용도 훨씬 줄어듭니다.







앞니 충치 확인법 & 주요 증상


눈으로 확인할 수 있는 증상  

• 치아 표면의 검은 점이나 갈색 얼룩

• 치아 사이 어두운 그림자

• 하얀 반점, 거친 표면 질감

• 유난히 투명해 보이는 부위


2단계 이상일 때 느껴지는 증상

• 찬물에 시림

• 단 음식에 찌릿한 통증

• 가만히 있어도 욱신거리는 통증 (진행된 충치)







앞니 충치, 자연치유 될까요?


* 3D 스캐너 구강 검진 


결론부터 말씀드리면, 이미 생긴 충치는 자연치유되지 않습니다. 

치아는 피부처럼 재생되는 조직이 아니라서, 한 번 손상되면 저절로 회복되지 않습니다.

다만 충치가 아주 초기, 즉 구멍 없이 하얗게만 보이는 ‘반점 단계’라면

불소 사용, 식습관 개선, 침 분비 촉진 등을 통해 다시 단단해질 수도 있습니다.

하지만 이 단계는 눈으로는 구별이 어렵기 때문에 반드시 치과 검진을 통해 확인해야 합니다. 







충치인데도 왜 안 아플까요?



충치는 치아의 가장 바깥층인 에나멜(법랑질)에서 시작됩니다. 

이 층에는 신경이 없어 처음엔 아무리 썩어도 통증이 없습니다.

하지만 충치가 그 아래 덴틴(상아질)까지 진행되면 얘기가 달라집니다. 

덴틴에는 신경과 연결된 가느다란 관들이 많아

충치가 닿는 순간부터 시큰거리거나 찌릿한 느낌이 나타나기 시작합니다.

그리고 충치가 더 깊어져 신경(치수)까지 도달하면

갑작스러운 극심한 통증이나, 밤에 욱신거려서 잠을 못 자는 경우도 생깁니다.

이 단계에서는 신경치료가 필요하고, 치료 범위도 훨씬 커지게 됩니다.







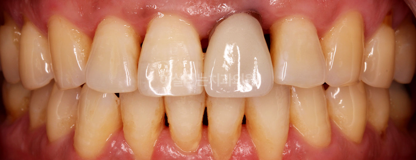
앞니 충치 단계별 치료법


1단계 (초기 충치)


* 앞니 충치 레진 치료 


• 상태: 표면에만 충치 발생

• 증상: 통증 없음, 색 변화나 작은 반점

• 치료: 손상 부위만 다듬고 레진으로 복구

• 특징: 치료 시간 짧고 비용도 적게듬 





* 앞니 충치 레진 치료 부작용 


주의: 앞니 레진은 착색, 2차 충치, 탈락 가능성 등이 있어 한 번에 제대로 복구하려면 미니쉬를 권장합니다. 







2단계 (중기 충치) 

• 상태: 덴틴까지 충치 확장

• 증상: 시린 증상, 시큰거림

• 치료: 미니쉬로 에나멜 복구

미니쉬는 생체모방이론을 바탕으로, 자연치아와 가장 유사한 재료를 사용해 치아를 복구하는 솔루션입니다.




* 앞니 충치 미니쉬로 복구 

* 개인에 따라 치료 기간이 다를 수 있으며, 부작용이 발생할 수 있으니 의료진의 정확한 진료를 받고 치료를 진행하시기 바랍니다. 






3단계 (말기 충치)

• 상태: 신경까지 충치 진행

• 증상: 극심한 통증

• 치료: 신경치료 후 크라운 또는 미니쉬로 복구




4단계 (발치 단계)

• 상태: 자연치아 보존이 불가능한 상태

• 치료: 발치 후 인공치아로 대체







앞니  충치 치료, 많이 아플까요?

“앞니라서 더 아픈 거 아니에요?”

걱정하실 수 있지만, 오히려 앞니는 치료가 쉬운 부위입니다.

접근이 용이해서 마취도 적게 사용하고, 초기엔 마취 없이도 치료가 가능한 경우가 있습니다. 

요즘은 무통 마취, 전자 마취기 등을 사용해 거의 통증 없이 치료가 가능합니다.

무서워서 미루는 사이 충치가 더 진행되면 그만큼 치료도 커지고, 비용도 올라갑니다.

치료는 빠를수록 유리하고, 미룰수록 손해입니다. 







앞니 충치 치료 비용

• 레진 치료: 약 8만 원 ~ 15만 원

• 크라운 치료: 60만 원 이상

• 미니쉬: 의료진의 미니쉬 진행 경험치에 따라 비용이 달라지므로, 정확한 금액은 진단 후 안내

* 초기 치료가 가장 경제적인 선택이라는 점, 꼭 기억해 주세요.




앞니 충치가 의심된다면?

이살리는치과에서는

• AI 스캔 진단

• 형광 세균 검사

• 구강 헬스리포트 등

정밀 검진 패키지를 통해 눈에 보이지 않는 충치까지 정확히 확인할 수 있습니다. 

치아의 작은 점 하나라도 의심된다면, 지금 이살리는치과 원데이프로그램을 예약해보세요.